近日,生命科学学院何华纲团队联合多家单位在Nature Communications上发表题为An NLR pair in the Pm68 locus confers powdery mildew resistance in durum and common wheat的研究性论文,报道了小麦抗白粉病新基因Pm68的图位克隆,并揭示了该基因的起源和抗病分子机理。江苏大学生命科学学院为第一完成单位,何华纲为第一作者兼通讯作者,合作单位河南大学高安礼副教授和中国科学院分子植物科学卓越创新中心王亚军研究员为共同通讯作者,生命科学学院硕士研究生唐秋莲、张倩渊分别为第二、第三作者。

小麦白粉病是由布氏白粉菌引起的流行性真菌病害,在我国各大麦区广泛发生,常年发病面积为一亿亩左右,严重威胁我国小麦粮食安全,挖掘和利用抗白粉病基因是控制白粉病危害的重要措施。2021年,何华纲团队首次报道了来源于硬粒小麦品种TRI 1796的2BS染色体上的抗白粉病新基因Pm68(经国际小麦命名委员会正式定名),在小麦抗病育种中具有潜在利用价值。

该研究通过精细遗传作图和基于分子标记的关联分析进一步将Pm68锁定在分子标记Xdw08/Xdw09之间。研究使用PacBio三代基因组测序和二代转录组数据的read-mapping分析表明,Pm68位点的两个NLR基因Pm68-1和Pm68-2与抗病相关。研究分别将Pm68-1和Pm68-2构建到转基因表达载体,采用农杆菌介导法导入感白粉病小麦品种Fielder。结果显示,单独携带Pm68-1或Pm68-2的转基因植株在苗期和成株期均表现为感白粉病,而聚合了这两个基因的杂交后代表现出稳定的抗病性,因此,Pm68抗性是由一对NLR基因联合控制。进化研究表明,Pm68抗性位点起源于野生二粒小麦,进而从野生二粒小麦中发掘到9种单倍型,丰富了抗白粉病基因资源。


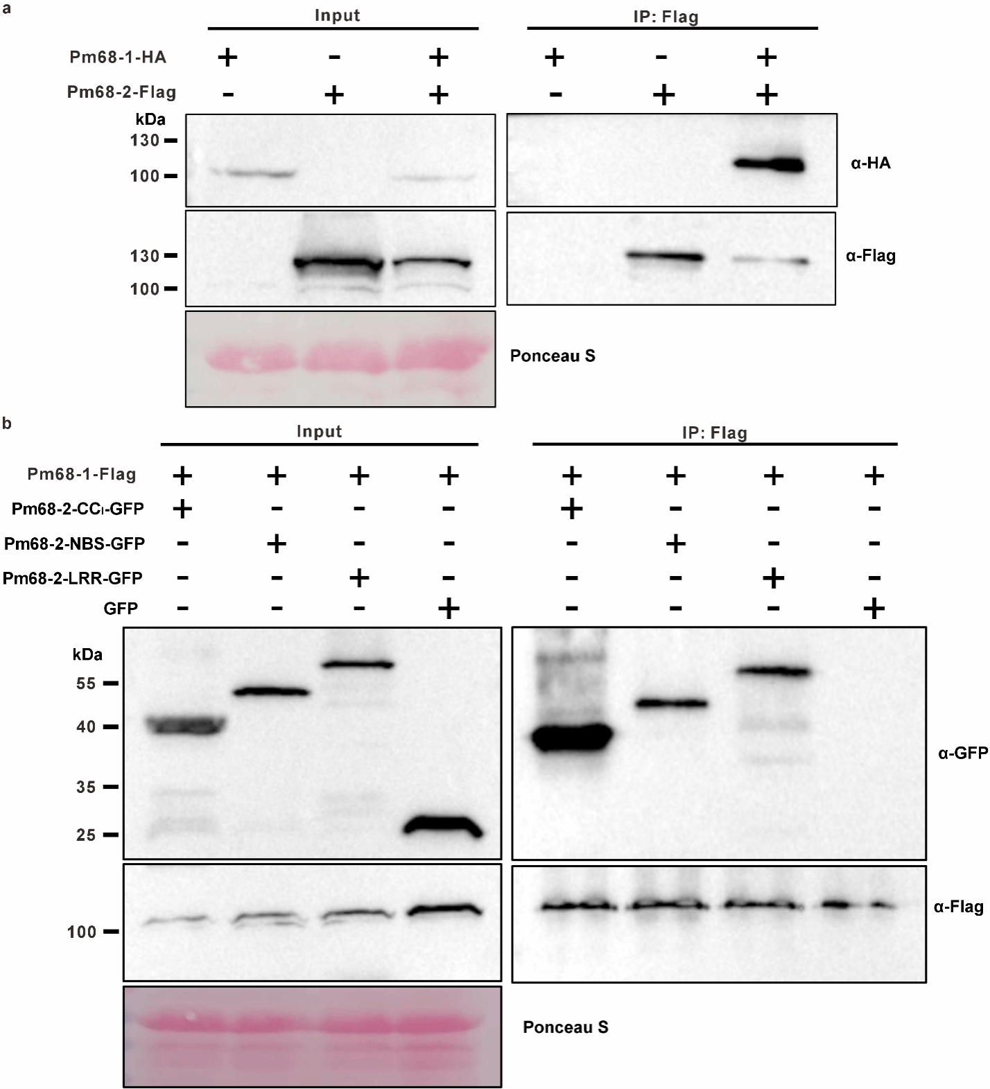
为了确定Pm68-1和Pm68-2之间的功能关系,研究者构建了一系列表达载体,在本氏烟草叶片中进行瞬时过表达实验。结果表明,单独表达Pm68-1和Pm68-2均不能够引起烟草细胞死亡,而共表达Pm68-1和Pm68-2能够诱发细胞死亡。对两个NLR的MHD位点和P-loop位点进行突变分析,结果显示只有Pm68-1与执行细胞死亡有关。进一步分析不同结构域,发现只有全长Pm68-1和Pm68-2的CC1结构域共表达才能诱发烟草细胞死亡。由此推测,Pm68-1是诱导细胞死亡的关键参与者,其活性受到Pm68-2的CC1结构域的调控。Co-IP实验证实Pm68-1与Pm68-2及其三个结构域都能发生互作。

研究者将携带Pm68基因的硬粒小麦TRI 1796与感白粉病的小麦骨干亲本扬麦158杂交,并以扬麦158作为轮回亲本多次回交、自交后,创制了含有Pm68的普通小麦渐渗系,它在苗期和成株期均能表现出良好的白粉病抗性,而且该新种质的单株穗数、穗粒数和千粒重等重要农艺参数均显著高于轮回亲本扬麦158,具有较好的育种利用价值。
该研究从硬粒小麦中成功克隆了抗白粉病新基因Pm68,证实Pm68抗性是由两个NLR基因联合控制,并揭示了两个NLR蛋白的分子互作机理,同时还创制了携带Pm68的抗白粉病小麦新种质,为其育种利用奠定了良好的基础。
该研究得到国家自然科学基金面上项目等资助。(生命科学学院)
文章链接:https://www.nature.com/articles/s41467-025-64048-z
原文链接:https://www.ujs.edu.cn/info/1062/202872.htm